Voeding en leefstijl bij de non-alcoholisch vervette lever

Door Vera van Randwijck
De non-alcoholisch vervette lever is een wereldwijd snelgroeiende ziekte, gelinkt aan obesitas, diabetes mellitus type 2 en metabool syndroom. Het is een steeds verdergaande vervetting van de lever met een steeds ernstiger vorm van leverlijden tot gevolg.
De gevoeligheid voor het ontwikkelen van leverlijden is van verschillenden factoren afhankelijk. Naast infectieziekten van de lever en alcoholisme worden momenteel vooral leefstijl-gerelateerde factoren zoals insulineresistentie (IR), de kwaliteit van het darmmicrobioom, overgewicht en het metabool syndroom gekoppeld aan het ontwikkelen van leverlijden.
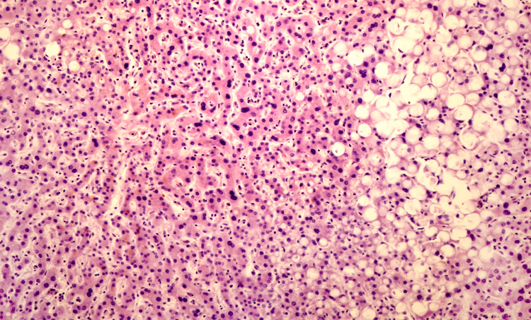
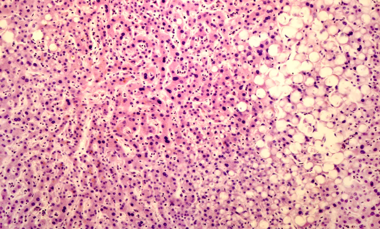
In een artikel over de ontwikkeling van de pathogenese tot hepatosteatose worden verschillende paden genoemd in wat de zogenaamde multi-hit hypothese heet.2 Figuur 1 laat het mechanisme zien van het ontstaan van leverfibrose; daarboven in kolommen een aantal kruiden die de stappen kunnen remmen.
Het grote probleem met het ontwikkelen van medicijnen is dat elk medicijn weer een actie van de lever vraagt, en dat is nu net het orgaan dat ondersteund moet worden. In de mogelijke therapeutische interventies wordt naast al bestaande medicijnen, zoals metformine, verwante medicijnen en aspirine, dan ook gekeken naar vitamines, mineralen, andere micronutriënten en ook kruiden als belangrijke ondersteuning in het verlichten van leverlijden zonder bijwerkingen.
De verschillende oorzaken die genoemd worden in de pathogenese van MAFLD2,4 zijn genetische predispositie5, insulineresistentie, verstoorde vetstofwisseling, darmdysbiose, ontstekingsreacties in vetweefsel en lever, en epigenetische factoren.
Lees het gehele artikel vanaf pagina 34 in OrthoFyto 2/23.
Bronvermelding:
Bronvermelding:
1. Barchetta, I., Cimini, F. A., & Cavallo, M. G. (2020). Vitamin D and metabolic dysfunction-associated fatty liver disease (MAFLD): An update. Nutrients, 12(11), 1–14.
2. Arab, J. P., Arrese, M., & Trauner, M. (2018). Recent Insights into the Pathogenesis of Nonalcoholic Fatty Liver Disease. Annu. Rev. Pathol. Mech. Dis, 13, 321–350. https://doi.org/10.1146/annurev-pathol-020117
3. Ore, A., & Akinloye, O. A. (2021). Phytotherapy as multi-hit therapy to confront the multiple pathophysiology in non-alcoholic fatty liver disease: A systematic review of experimental interventions. In Medicina (Lithuania) (Vol. 57, Issue 8). MDPI AG.
4. Mohamed, J., Nazratun Nafizah, A. H., Zariyantey, A. H., & Budin, S. B. (2016). Mechanisms of diabetes-induced liver damage: The role of oxidative stress and inflammation. Sultan Qaboos University Medical Journal, 16(2), e132–e141.
5. Meroni, M., Longo, M., Rustichelli, A., & Dongiovanni, P. (2020). Nutrition and genetics in NAFLD: The perfect binomium. In International Journal of Molecular Sciences (Vol. 21, Issue 8). MDPI AG.
6. Kim, H., Lee, D. S., An, T. H., Park, H. J., Kim, W. K., Bae, K. H., & Oh, K. J. (2021). Metabolic spectrum of liver failure in type 2 diabetes and obesity: From nafld to nash to hcc. International Journal of Molecular Sciences, 22(9).
7. Ryan, J. D., Armitage, A. E., Cobbold, J. F., Banerjee, R., Borsani, O., Dongiovanni, P., Neubauer, S., Morovat, R., Wang, L. M., Pasricha, S. R., Fargion, S., Collier, J., Barnes, E., Drakesmith, H., Valenti, L., & Pavlides, M. (2018). Hepatic iron is the major determinant of serum ferritin in NAFLD patients. Liver International, 38(1), 164–173.
8. Komolafe, O., Buzzetti, E., Linden, A., Best, L. M. J., Madden, A. M., Roberts, D., Chase, T. J. G., Fritche, D., Freeman, S. C., Cooper, N. J., Sutton, A. J., Milne, E. J., Wright, K., Pavlov, C. S., Davidson, B. R., Tsochatzis, E., & Gurusamy, K. S. (2021). Nutritional supplementation for nonalcohol-related fatty liver disease: a network meta-analysis. Cochrane Database of Systematic Reviews, 2021(7).
9. Sofi, F., Giangrandi, I., Cesari, F., Corsani, I., Abbate, R., Gensini, G. F., & Casini, A. (2010). Effects of a 1-year dietary intervention with n-3 polyunsaturated fatty acid-enriched olive oil on non-alcoholic fatty liver disease patients: a preliminary study. Int J Food Sci Nutr. 2010 Dec; 61(8): 792-802.
10. Semmler, G., Datz, C., Reiberger, T., & Trauner, M. (2021). Diet and exercise in NAFLD/NASH: Beyond the obvious. In Liver International (Vol. 41, Issue 10, pp. 2249–2268). John Wiley and Sons Inc.
11. Gao, Y., Zhang, W., Zeng, L. Q., Bai, H., Li, J., Zhou, J., Zhou, G. Y., Fang, C. W., Wang, F., & Qin, X. J. (2020). Exercise and dietary intervention ameliorate high-fat diet-induced NAFLD and liver aging by inducing lipophagy. Redox Biology, 36.
12. Kahleova, H., Tura, A., Hill, M., Holubkov, R., & Barnard, N. D. (2018). A plant-based dietary intervention improves beta-cell function and insulin resistance in overweight adults: A 16-week randomized clinical trial. Nutrients, 10(2).
13. Meijnikman, A. S., Lappa, D., Herrema, H., Aydin, O., Krautkramer, K. A., Tremaroli, V., Olofsson, L. E., Lundqvist, A., Bruin, S., Acherman, Y., Verheij, J., Hjorth, S., Gerdes, V. E. A., Schwartz, T. W., Groen, A. K., Bäckhed, F., Nielsen, J., & Nieuwdorp, M. (2022). A systems biology approach to study non-alcoholic fatty liver (NAFL) in women with obesity. IScience, 25(8).
14. Setiawan, V. W., Wilkens, L. R., Lu, S. C., Hernandez, B. Y., le Marchand, L., & Henderson, B. E. (2015). Association of coffee intake with reduced incidence of liver cancer and death from chronic liver disease in the US multiethnic cohort. Gastroenterology, 148(1), 118–125.
15. Sanyal, A. J., Chalasani, N., Kowdley, K. v., McCullough, A., Diehl, A. M., Bass, N. M., Neuschwander-Tetri, B. A., Lavine, J. E., Tonascia, J., Unalp, A., van Natta, M., Clark, J., Brunt, E. M., Kleiner, D. E., Hoofnagle, J. H., & Robuck, P. R. (2010). Pioglitazone, Vitamin E, or Placebo for Nonalcoholic Steatohepatitis. New England Journal of Medicine, 362(18), 1675–1685.
16. Yan, J. H., Guan, B. J., Gao, H. Y., & Peng, X. E. (2018). Omega-3 polyunsaturated fatty acid supplementation and non-alcoholic fatty liver disease: A meta-analysis of randomized controlled trials. Medicine, 97(37).
17. Musa-Veloso, K., Venditti, C., Lee, H. Y., Darch, M., Floyd, S., West, S., & Simon, R. (2018). Systematic review and meta-analysis of controlled intervention studies on the effectiveness of long-chain omega-3 fatty acids in patients with nonalcoholic fatty liver disease. Nutrition Reviews, 76(8), 581–602.
18. Wan, F., Pan, F., Ayonrinde, O., Adams, L. A., Mori, T. A., Beilin, L. J., O’Sullivan, T. A., Olynyk, J. K., & Oddy, W. H. (2022). Prospective dietary polyunsaturated fatty acid intake is associated with trajectories of fatty liver disease: an 8 year follow-up study from adolescence to young adulthood. European Journal of Nutrition, 61(8), 3987–4000.
19. Safari, Z., & Gérard, P. (2019). The links between the gut microbiome and non-alcoholic fatty liver disease (NAFLD). In Cellular and Molecular Life Sciences (Vol. 76, Issue 8, pp. 1541–1558). Birkhauser Verlag AG.
20. Delli Bovi, A. P., Marciano, F., Mandato, C., Siano, M. A., Savoia, M., & Vajro, P. (2021). Oxidative Stress in Non-alcoholic Fatty Liver Disease. An Updated Mini Review. Frontiers in Medicine, 8.
21. Yerlikaya, A., Dagel, T., King, C., Kuwabara, M., Lanaspa, M. A., Andres-Hernando, A., Covic, A., Manitius, J., Sag, A. A., & Kanbay, M. (2017). Dietary and commercialized fructose: Sweet or sour? International Urology and Nephrology, 49(9), 1611–1620.
22. Koperska, A., Wesołek, A., Moszak, M., & Szulińska, M. (2022). Berberine in Non-Alcoholic Fatty Liver Disease— A Review. Nutrients 2022, Vol. 14, Page 3459, 14(17), 3459.
23. Yang, K., Kim, H.-H., Shim, Y.-R., & Song, M. J. (2023). The Efficacy of Panax ginseng for the Treatment of Nonalcoholic Fatty Liver Disease: A Systematic Review and Meta-Analysis of Preclinical Studies. Nutrients, 15(3), 721.
24. Farsi, F., Mohammadshahi, M., Alavinejad, P., Rezazadeh, A., Zarei, M., & Engali, K. A. (2015). Functions of Coenzyme Q10 Supplementation on Liver Enzymes, Markers of Systemic Inflammation, and Adipokines in Patients Affected by Nonalcoholic Fatty Liver Disease: A Double-Blind, Placebo-Controlled, Randomized Clinical Trial. Journal of the American College of Nutrition, 35(4), 346–353.
25. Cicero, A. F. G., Colletti, A., Bajraktari, G., Descamps, O., Djuric, D. M., Ezhov, M., Fras, Z., Katsiki, N., Langlois, M., Latkovskis, G., Panagiotakos, D. B., Paragh, G., Mikhailidis, D. P., Mitchenko, O., Paulweber, B., Pella, D., Pitsavos, C., Reiner, Z., Ray, K. K., … Sahebkar, A. (n.d.). Lipid-lowering nutraceuticals in clinical practice: position paper from an International Lipid Expert Panel. Nutrition Reviews, 75(9), 731–767.
26. Kalopitas, G., Antza, C., Doundoulakis, I., Siargkas, A., Kouroumalis, E., Germanidis, G., Samara, M., & Chourdakis, M. (2021). The impact of silymarin in individuals with non-alcoholic fatty liver disease: A systematic review and meta-analysis. Nutrition, 83.
27. White, C. M., & Lee, J. Y. (2019). The impact of turmeric or its curcumin extract on nonalcoholic fatty liver disease: A systematic review of clinical trials. Pharmacy Practice, 17(1).
28. Fontes, A., Ramalho-Santos, J., Zischka, H., & Azul, A. M. (2022). Mushrooms on the plate: Trends towards NAFLD treatment, health improvement and sustainable diets. European Journal of Clinical Investigation, 52(3).
29. Tang, G., Zhang, L., Tao, J., & Wei, Z. (2021). Effect of Nigella sativa in the treatment of nonalcoholic fatty liver disease: A systematic review and meta-analysis of randomized controlled trials. Phytotherapy Research, 35(8), 4183–4193.
30. Tang, K. Y., Lickliter, J., Huang, Z. H., Xian, Z. S., Chen, H. Y., Huang, C., Xiao, C., Wang, Y. P., Tan, Y., Xu, L. F., Huang, Y. L., & Yan, X. Q. (2018). Safety, pharmacokinetics, and biomarkers of F-652, a recombinant human interleukin-22 dimer, in healthy subjects. Cellular & Molecular Immunology, 16(5), 473–482
31. Wei, X., Lin, L., Yuan, Q. qian, Wang, X. yun, Zhang, Q., Zhang, X. min, Tang, K. chao, Guo, M. yu, Dong, T. yu, Han, W., Huang, D. ke, Qi, Y. liang, Zhang, M., & Zhang, H. bing. (2023). Bavachin protects against diet-induced hepatic steatosis and obesity in mice. Acta Pharmacologica Sinica.
32. Lee, H., Li, H., Noh, M., & Ryu, J. H. (2016). Bavachin from psoralea corylifolia improves insulin-dependent glucose uptake through insulin signaling and AMPK activation in 3T3-L1 adipocytes. International Journal of Molecular Sciences, 17(4).
Vera van Randwijck
is orthomoleculair therapeut en voedingsdeskundige. Ze studeerde Voeding aan de Universiteit van Wageningen. Na afronding van haar orthomoleculaire studie bij Ortho Linea verdiepte ze zich onder meer in ayurveda, darmtherapie en vrouwenklachten.



